อาทิตย์ 16 พ.ย. 2008 2:35 pm

- lp_prasit_300.jpg (60.05 KiB) เปิดดู 12257 ครั้ง
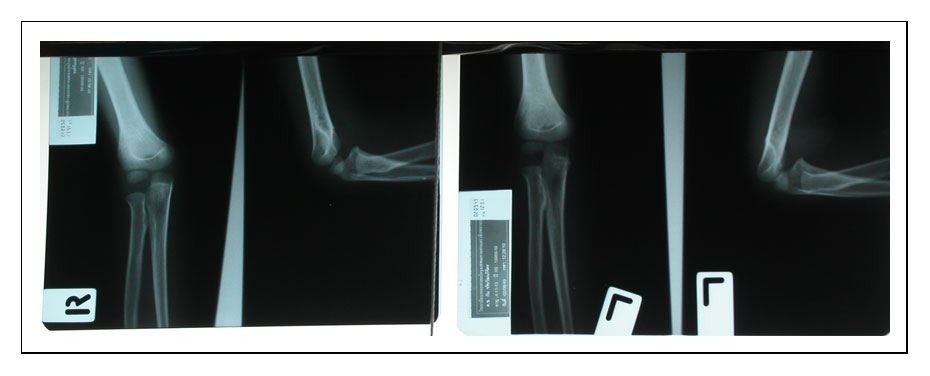
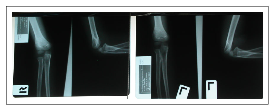
แปลก !!! แพทย์และหมอฮือฮา....เพราะเอกซเรย์พระคุณเจ้ารูปหนึ่งปรากฎว่ากระดูกแขนเป็นแก้วสีใสหมดทั้งตัว พอ สอบถามที่มาที่ไปปรากฎว่าเป็นหลวงพ่อประสิทธิ์ ปุญมากโร แห่งวัดป่าหมู่ใหม่(อ.แม่แตงจ.เชียงใหม่) ท่านก็เป็นพระป่ากรรมฐานศิษย์สายหลวงปู่มั่น ภูริทัตโต คุณหมอทั้งหลายที่ใน ร.พสวนดอก(เชียงใหม่) ต่างยกย่องกล่าวขานถึงหลวงพ่อว่าน่าอัศจรรย์แท้ เพราะเขาถ่าย x-ray ท่านออกมาปรากฎว่ากระดูกข้างในเป็นแก้วทั้งหมด หมอๆ ทั้งหลายในโรงพยาบาลสวนดอก เลยเคารพท่านมาก
ท่านพระอาจารย์ประสิทธิ์องค์นี้หลวงตามหาบัวก็ยืนยันในความดีและคุณธรรมของท่านครับ

- ข่าวของท่านลงในหนังสือพิมพ์ข่าวสด
- P0100187-PIC4.jpg (78.83 KiB) เปิดดู 12279 ครั้ง

- ฟิล์มเอ็กเรย์กระดูกท่านครับ
- 59.jpg (34.2 KiB) เปิดดู 12275 ครั้ง
พระอาจารย์ประสิทธิ์ ปุญฺญมากโร นับเป็นเนื้อนาบุญ ในสายพระป่า ที่ได้รับความเคารพศรัทธาจากพุทธสุปฏิปันโน ท่านพระอาจารย์ประสิทธิ์ ปุญฺญมากโร เป็นคนจังหวัดอุดรธานี ที่หมู่ หนองบัวบาน ต.หมากหญ้า อ.หนองวัวซอ ซึ่งบ้านใกล้กับวัดนิโครธารามสมัยนั้นมี หลวงปู่ อ่อน ญาณสิริ เป็นเจ้าอาวาส และตัวท่านได้เข้าวัดตั้งแต่ เด็ก เมื่ออายุครบ 18 ปี ก็บวชเป็น สามเณร และบวชเป็นพระเมื่ออายุครบ 20 ปีคอยปฎิบัติรับใช้ หลวงปู่อ่อน ญาณสิริอยู่ตลอดเรื่อยมา

- หลวงปู่อ่อน
- lungpu-on.jpg (19.76 KiB) เปิดดู 12243 ครั้ง
เมื่อหลวงปู่อ่อน ญาณสิริ ได้มรณภาพลง ท่านก็ได้ไปปฎิบัติ และอยู่กับ หลวงปู่ชอบ ฐานสโม ที่วัดป่าสัมมานุสรณ์ บ้านโคกมน ต.ผาน้อย อ.วังสะพุง จ.เลย
ท่าน มัก จะชอบไปธุดงค์ตามที่ต่างๆ ตามป่า เขา ลำห้วย ทั้งภาคอิสาน และภาค เหนือ และจังหวัดต่างๆทั่วไทย ซึ่งก็ได้เดินธุดงค์มาจังหวัด เชียงใหม่ และจังหวัดต่างๆ ตั้งแต่สมัยหลวงปู่ชอบ ยังมีชีวิตอยู่ มาตลอด
เรามาทำความรู้จักกับวัดป่าหมู่ใหม่ที่ท่านจำพรรษาอยู่กันดีกว่าครับ

- กุฏิท่านพระอาจารย์ประสิทธิ์
- watpamumaikutiarjanprasit20.jpg (6.92 KiB) เปิดดู 12235 ครั้ง
วัดป่าหมู่ใหม่เป็นวัดป่า สายธรรมยุติ เป็นวัดที่่สงบเงียบ ตั้งอยู่ท่ามกลางป่า ในเมือง และเป็นเนินเขาเตี้ยๆ
ท่านพระอาจารย์ประสิทธิ์ ได้อนุรักษ์สภาพพื้นที่ และปลูกป่า่และต้นไม้มาตลอด จน ต้นไม้เติบใหญ่ จนปัจจุบัน วัดมีสภาพสมบูรณ์ร่มรื่น เหมาะสมในการปฏิบัติ ภาวนาเป็นอย่างยิ่ง
ตั้งอยู่ด้านหลัง สำนักงานชลประทานแม่แตง ที่บ้านหมู่ใหม่
ห่างจากสำนักงานไป ประมาณ 1.5 กม.
ภายในวัด พระ-เณร ญาติธรรม ทั้งหลายได้อาศัยแสงไปฉาย, เทียนไข, ตะเกียง ในช่วงยามค่ำคืน เป็นสิ่งที่หาดูได้ยากในวัดปัจจุบัน ทั้งๆที่วัดเองก็มีไฟฟ้าเข้ามาถึงด้านหน้าแล้ว ก็เพียงได้ ใช้อาศัยเปิดเป็นบางจุดสำหรับศาลาด้านหน้า ต่กุฎิต่างๆภายในวัด ไม่ใช้ไฟฟ้า เพราะท่านอาจารย์ ประสิทธิ์ ท่านไม่ต้องการให้มี ไฟฟ้า ใน กุฎิ เพื่อที่พระ-เณร และญาติโยมสามารถปฎิบัติภาวนาได้ โดยไม่มีสิ่งอื่นมาล่อใจ หรือไขว้เขวได้

- arjanprasittisongnam.jpg (3.46 KiB) เปิดดู 12236 ครั้ง
น้ำใช้สอยก็ไม่ขาดแคลนอาศัยน้ำจากชลประทานแม่แตง แต่ภายในวัดก็ยังมี บ่อน้ำ สำหรับผู้ที่ ประสงค์จะใช้สอยได้ ซึ่งน้ำบ่อเก็เย็นและ็ใส สะอาด สามารถใช้อาบ,สรงน้ำ หรือซักจีวรหรือ เสื้อ ผ้าได้เป็นอย่างดี ซึ่งดูคล้ายวิถีการใช้ชีวิตของคนสมัยโบราณ ซึ่งหาดูได้ยากเต็มทีในปัจจุบัน
น้ำดื่มก็ได้อาศัยน้ำฝน โดยเก็บในแท็งค์ปูนหรือภาชนะเก็บน้ำฝนตามจุดต่างๆภายในวัด

- เหรียญรูปเหมือนของท่านครับ
- 24410444ci7.jpg (111.18 KiB) เปิดดู 12219 ครั้ง